こんにちは!相武台ゆうデンタルクリニックです。
子供の歯並びや噛み合わせが気になる親御さんは多いですよね。最近では、見た目だけでなく、健康面からも「正しい歯並び」の重要性が注目されています。
この記事では、子供の不正咬合(ふせいこうごう)の種類や原因、そして矯正方法の中でも注目されている「マウスピース矯正」について詳しく解説します。
1. そもそも不正咬合とは?
**不正咬合(ふせいこうごう)**とは、歯並びや噛み合わせに異常がある状態のことを指します。
「歯並びがガタガタしている」「前歯が出ている」「噛み合わせが深い」など、見た目の問題だけでなく、発音や咀嚼(そしゃく)機能にも影響を及ぼすことがあります。
不正咬合は自然に治ることは少なく、成長とともに悪化する場合もあります。そのため、早めのチェックや矯正治療が推奨されます。
2. 子供の不正咬合の種類
不正咬合にはいくつかの種類があり、それぞれ異なる特徴があります。
① 上顎前突(じょうがくぜんとつ)— いわゆる「出っ歯」
上の前歯が前方に大きく突き出している状態です。遺伝的要因のほか、指しゃぶりや舌の癖(舌を前に突き出す癖)が原因になることがあります。
【影響】
• 口が閉じにくくなる
• 転倒時に歯が折れやすい
• 発音に影響が出る
② 下顎前突(かがくぜんとつ)— いわゆる「受け口」
下の前歯が上の前歯より前に出ている状態です。下顎が過度に成長することで起こることが多いですが、舌の使い方や噛み癖も関係しています。
【影響】
• 食べ物を噛みにくい
• 発音が不明瞭になる
• 顎関節に負担がかかる
③ 叢生(そうせい)— いわゆる「ガタガタの歯並び」
歯がきれいに並ぶスペースが不足し、歯が重なり合って生えてしまう状態です。顎の大きさに対して歯が大きすぎる場合に起こりやすく、現代の子供に多い不正咬合の一つです。
【影響】
• 歯磨きがしづらく、虫歯や歯周病のリスクが高まる
• 見た目のコンプレックスにつながる
④ 開咬(かいこう)— 前歯が噛み合わない
前歯が閉じても上下の歯が接触せず、隙間が空いてしまう状態です。主な原因は、指しゃぶりや舌の癖(舌を前に押し出す癖)です。
【影響】
• 食事の際に前歯で噛みにくい
• 発音がしにくくなる(特にサ行やタ行)
⑤ 過蓋咬合(かがいこうごう)— 噛み合わせが深すぎる
上の前歯が下の前歯を覆い隠すような噛み合わせです。遺伝の影響や、顎の成長バランスの崩れが原因になります。
【影響】
• 下の歯が上の歯茎に当たりやすい
• 顎関節症のリスクが高まる
3. 子供の不正咬合の主な原因
子供の不正咬合の原因はさまざまですが、大きく分けると以下の3つが挙げられます。
① 遺伝的要因
親が不正咬合の場合、子供も遺伝的に歯並びが悪くなる傾向があります。顎の大きさや歯の大きさも遺伝するため、これが原因となることが多いです。
② 生活習慣や癖
子供の歯並びに影響を与える悪い習慣として、以下が挙げられます。
• 指しゃぶり
• 舌を前に突き出す癖(舌突出癖)
• 口呼吸
• 唇を噛む癖
• 頬杖をつく
これらの癖が長期間続くと、歯並びや顎の成長に悪影響を与える可能性があります。
③ 食生活の変化
柔らかい食べ物が多い現代の食生活は、顎の発達を妨げる要因の一つです。顎が小さくなると、歯がきれいに並ぶスペースが足りなくなり、不正咬合につながります。
4. マウスピース矯正とは?
近年、子供の歯列矯正として「マウスピース矯正」が注目されています。これは、透明なマウスピースを装着し、歯を徐々に動かして正しい位置に整える方法です。
マウスピース矯正のメリット
✅ 目立ちにくい:透明な素材のため、見た目を気にせず矯正できる。
✅ 取り外し可能:食事や歯磨きの際に外せるので、衛生的。
✅ 痛みが少ない:ワイヤー矯正に比べて痛みが少なく、違和感が少ない。
マウスピース矯正のデメリット
❌ 装着時間を守る必要がある:1日20時間以上装着しないと効果が出にくい。
❌ 適応できる症例が限られる:重度の不正咬合には対応できない場合がある。
5. 子供の不正咬合を予防するためにできること
子供の不正咬合は予防できる場合もあります。日頃から以下の点に気をつけましょう。
✔ しっかり噛む習慣をつける(硬い食べ物を取り入れる)
✔ 指しゃぶりや口呼吸を改善する
✔ 正しい姿勢を意識する(猫背や頬杖を防ぐ)
また、定期的に歯科検診を受け、早めに専門家のアドバイスをもらうことも大切です。
まとめ
不正咬合にはさまざまな種類があり、その原因も多岐にわたります。最近では、マウスピース矯正という選択肢も増え、目立ちにくく快適な治療が可能になっています。
子供の歯並びが気になる場合は、早めに歯科医院で相談し、最適な治療法を見つけてあげましょう!
気になる方はぜひご気軽に当院へご相談ください!
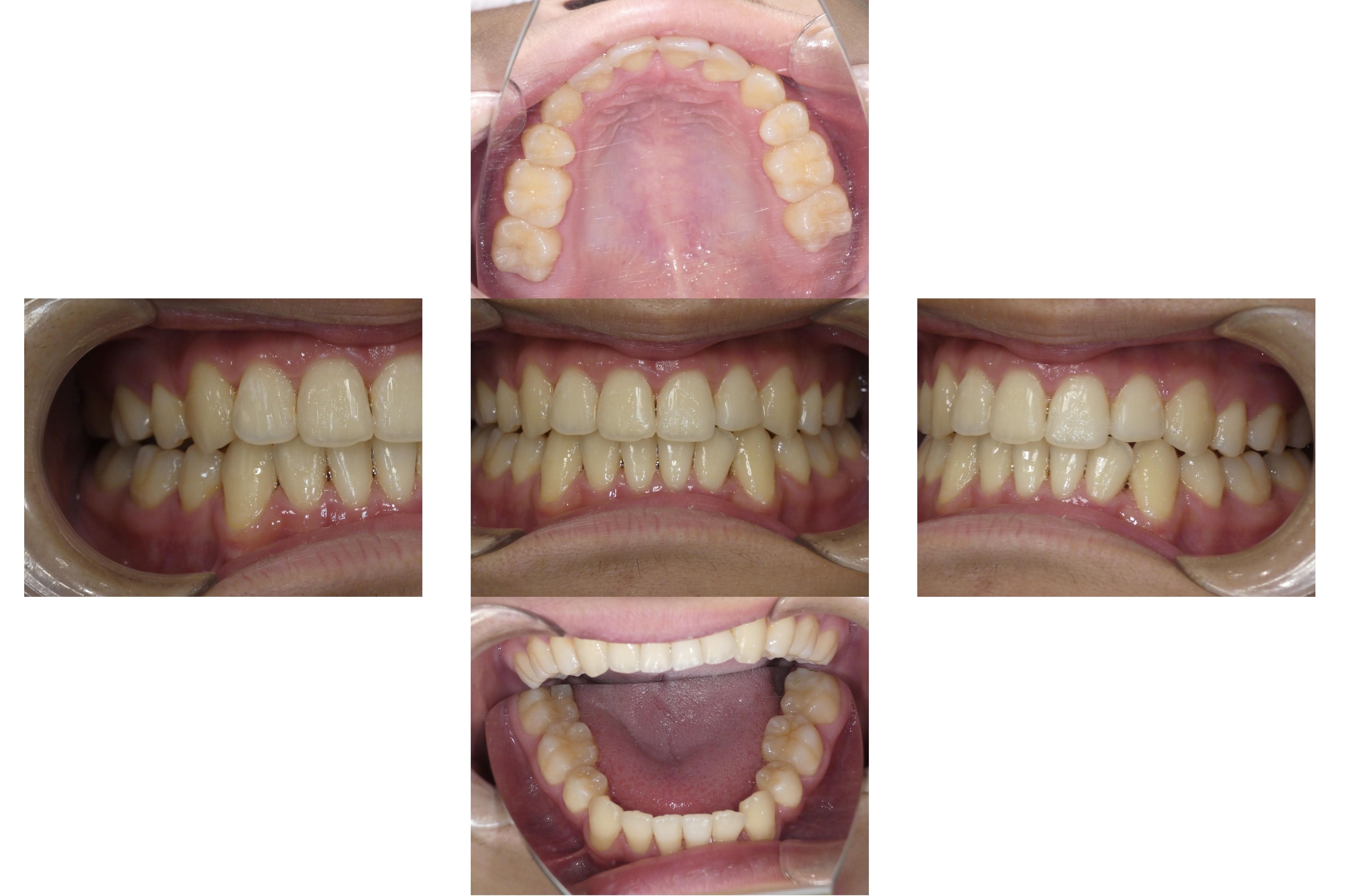
治療前

治療後

診断:叢生
治療内容:インビザラインエコノミー
期間:約1年
回数:25回
費用:38万
副作用:マウスピース着用中の痛みや違和感、発音への影響、一時的な歯の動揺






















![Quacareer[クオキャリア]新卒歯科衛生士募集中|採用情報・見学申し込みはこちら](/common/img/bnr_hygienist01.jpg)
![Quacareer[クオキャリア]経験者歯科衛生士募集中|採用情報・見学申し込みはこちら](/common/img/bnr_hygienist02.jpg)






