こんにちは、相武台ゆうデンタルクリニックです。
みなさんは不正咬合という言葉は聞いたことがありますか?
不正咬合というのは、噛み合わせの異常のことをいいます。
本来噛むところで噛んでいなかったり、逆に噛まないところで噛んでいたり。
それによって顎関節症などの顎の症状や肩こり、頭痛、歯肉退縮、知覚過敏、虫歯や歯周病など様々な疾患に繋がっていきます。
不正咬合とは?気付きにくい軽度な歯列不正について
歯並びや噛み合わせの問題、いわゆる「不正咬合」という言葉を聞いたとき、多くの方がまず頭に思い浮かべるのは、出っ歯(上顎前突)や受け口(下顎前突)、あるいは乱杭歯(叢生)といった、目立ちやすい問題でしょう。
しかし、歯列不正には明らかに見えるものだけではなく、一見整っているように見えても、実は軽度な不正がある場合も少なくありません。
例えば、以下のような状態が挙げられます
- 上下の歯がしっかり噛み合っていない。
- 前歯が少しだけ重なっている。
- 奥歯の噛み合わせがわずかにずれている。
- 見た目には分かりにくいが、口を閉じた際に歯の位置が正しくない。
これらは外見からは気付きにくいですが、放置していると長期的に様々な問題を引き起こす可能性があります。
軽度な歯列不正が引き起こす問題
軽度な不正咬合は、最初は見た目や生活に大きな影響を与えないことが多いですが、次第に以下のような問題を引き起こす可能性があります
- 噛み合わせの悪化
時間が経つにつれて、歯がさらにずれてしまい、噛み合わせが悪くなります。これにより、食べ物をうまく噛めなくなり、消化器官への負担が増えることもあります。 - 歯磨きの難しさと虫歯・歯周病リスクの増加
歯が少しでも重なっていると、歯磨きがしにくくなり、歯垢がたまりやすくなります。その結果、虫歯や歯周病のリスクが高まります。 - 顎関節への負担
噛み合わせのずれは、顎の関節に負担をかけることがあります。これにより、顎関節症や頭痛、肩こりといった全身の不調を引き起こす可能性もあります。 - 審美的な影響
軽度の歯列不正であっても、笑った時の見た目や表情に微妙な影響を与えることがあります。特に笑顔が重要なビジネスシーンやプライベートでは、本人にとって気になる要因になることも。
マウスピース矯正が選ばれる理由
このような軽度な歯列不正に対して、近年注目されているのがマウスピース矯正です。
マウスピース矯正は、透明な樹脂製のマウスピースを装着し、段階的に歯を動かしていく方法です。
この方法は、従来のワイヤー矯正と比較して、多くの利点があります。
マウスピース矯正のメリット
- 目立たない
マウスピースは透明なので、装着していてもほとんど目立ちません。仕事や学校など、人前に出る場面でも気兼ねなく使用できます。 - 取り外し可能
食事や歯磨きの際には取り外せるため、普段通りの食生活や口腔ケアが可能です。これにより、虫歯や歯周病のリスクも低減できます。 - 快適な装着感
金属のブラケットやワイヤーを使わないため、口内を傷つける心配がほとんどありません。また、初期の違和感も比較的少なく、日常生活に支障をきたしにくいのが特徴です。 - 矯正の進捗が分かりやすい
マウスピースは段階ごとに作成されており、患者さん自身も「次のステップに進む」といった進捗を実感しやすいです。
マウスピース矯正のデメリット
もちろん、マウスピース矯正には注意点やデメリットもあります。
- 装着時間の自己管理が必要
マウスピース矯正の効果を最大限に引き出すには、1日22時間以上の装着が推奨されています。しかし、取り外し可能なため、自己管理が甘いと十分な効果が得られないことも。 - こまめなメンテナンスが必要
マウスピースの清掃を怠ると、衛生的な問題が発生する可能性があります。専用の洗浄液やブラシを使って定期的にケアする必要があります。
軽度な不正咬合を放置しないために
一見すると問題がないように見える軽度な不正咬合でも、時間が経つにつれて様々な問題を引き起こす可能性があります。
そのため、「気になるけど大したことないだろう」と放置するのではなく、早めに歯科医院で相談することが大切です。
特に、マウスピース矯正は軽度の歯列不正に適しており、従来の矯正方法に比べて負担が少なく、生活スタイルに合わせやすい治療法です。
まとめ
不正咬合には目立つものだけでなく、軽度で気付きにくいものもあります。
これらの軽度な問題を放置していると、歯並びや噛み合わせだけでなく、全身の健康に悪影響を及ぼす可能性があります。
マウスピース矯正は、目立たず快適な治療法として多くの方に選ばれている方法です。
あなたの笑顔と健康のために、まずは一歩を踏み出してみてください。
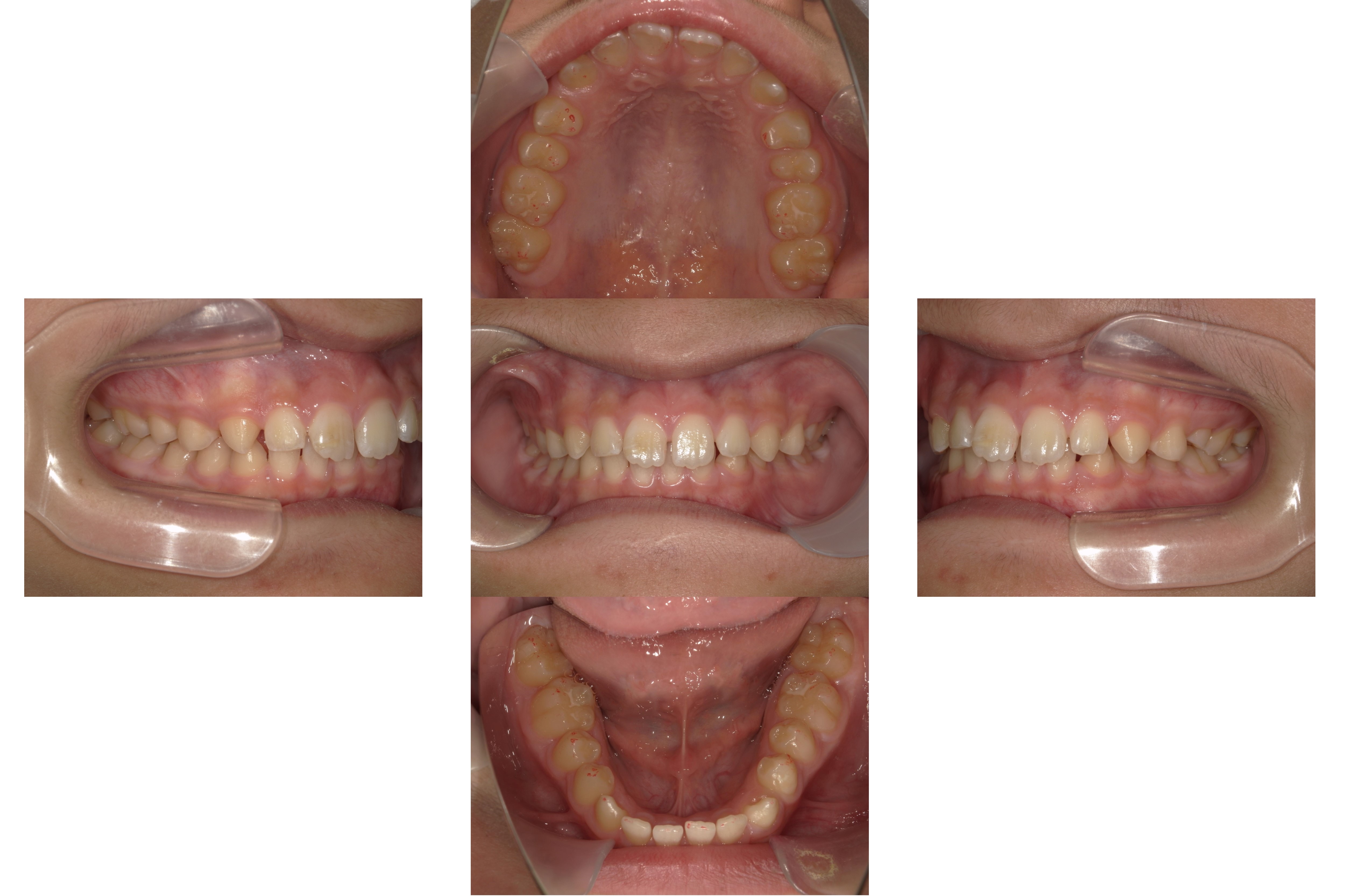
治療前

治療後

診断:過蓋咬合、空隙歯列
期間:1年半
内容:インビザラインプレミアム
費用:85万円





![Quacareer[クオキャリア]新卒歯科衛生士募集中|採用情報・見学申し込みはこちら](/common/img/bnr_hygienist01.jpg)
![Quacareer[クオキャリア]経験者歯科衛生士募集中|採用情報・見学申し込みはこちら](/common/img/bnr_hygienist02.jpg)






