こんにちは。座間市相武台、小田急線「相武台前駅」南口より徒歩1分にある歯医者「相武台ゆうデンタルクリニック」です。
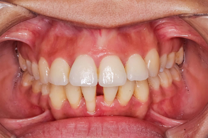
すきっ歯は、歯と歯の間に隙間がある歯並びのことを指します。見た目に影響が出るだけでなく、会話中に舌や唇が隙間に入り込んだり、食べ物が挟まったりして不快感を覚えることもあるでしょう。
「すきっ歯を治療するならインビザラインが良いと聞いたけれど本当に可能なの?」「インビザラインによる治療でどんなメリットがあるのか?」といった疑問を持つ方も多いのではないでしょうか。
この記事では、すきっ歯を放置した場合のリスクをはじめ、インビザラインでの治療のメリット・デメリット、治療期間、費用についてわかりやすく解説します。
すきっ歯とは

すきっ歯とは、正式には空隙歯列(くうげきしれつ)と呼ばれ、歯と歯の間に明らかなすき間がある状態を指します。特に、前歯の中央にすき間がある場合は、正中離開(せいちゅうりかい)といいます。
すきっ歯は口元の見た目に影響するだけでなく、発音や食べ物の噛みやすさにも関わることがあるため、治療を検討する方も少なくありません。
すきっ歯になる原因
すきっ歯にはいくつかの原因があります。まずは、すきっ歯の原因を見ていきましょう。
歯の大きさと顎のバランスが合っていない
歯の大きさと顎の大きさのバランスが取れていない場合、すきっ歯の原因になります。たとえば、あごが大きいのに対して歯が小さいと、歯と歯の間にすき間ができやすくなります。歯のサイズが遺伝的に小さい場合や、骨の成長が影響して起こることが多いです。
歯の本数が少ない
本来生えるべき歯が足りない、先天性欠如と呼ばれる状態も、すきっ歯の原因のひとつです。歯が足りなくても顎の骨の幅が小さくなるわけではないので、歯が並ぶスペースが余ってすき間ができやすくなります。
歯周病などによる歯の移動
歯周病が進行すると、歯を支えている骨が少しずつ溶けていきます。歯の土台が弱くなることで、歯が動きやすくなって隙間ができるケースがあります。
特に中高年以降の方に多く見られる傾向があり、もともと隙間がなかった場所にもすき間が生じることがあります。このような場合、矯正治療だけでなく、歯周病の治療を並行して行う必要があります。
舌や口周りの癖
無意識のうちに舌で歯を押したり、口を開けたまま呼吸をする癖があると、すきっ歯になることがあります。特に舌で歯の裏側を押す癖は、前歯の間に力が加わって歯が徐々に前方へ動く原因になります。
また、口呼吸をしていると唇や舌の使い方にも影響を与え、歯並びが乱れるリスクを高めます。
すきっ歯をそのままにするリスク

すきっ歯は見た目の問題だけでなく、放置することで口腔内や身体にさまざまな悪影響を及ぼす可能性があります。ここでは、すきっ歯をそのままにした場合に考えられるリスクについて詳しく見ていきましょう。
虫歯や歯周病になるリスクが高まる
歯と歯の間にすき間があると、食べかすや汚れが溜まりやすくなります。すきっ歯はすき間の部分の清掃が難しく、細菌が繁殖しやすい環境を作ります。
結果として虫歯や歯周病の原因となり、放置すると歯の健康に大きな影響を及ぼすかもしれません。
発音や滑舌に影響することがある
前歯に隙間があることで、発音に影響が出る場合があります。たとえば、サ行やタ行の音がうまく発音できず、空気が抜けるような音になることがあります。
口臭が発生しやすい
歯と歯の間にすき間があると、食べカスや汚れがたまりやすくなります。こうした汚れが残ったままになると、細菌が増えてにおいの原因になるため、口臭が発生しやすくなるのです。
特にすき間が広い場合、毎日の歯磨きでも汚れを落としにくくなります。
顎関節に負担がかかる
すきっ歯によって噛み合わせが乱れると、顎にかかる力のバランスが崩れ、顎関節に負担がかかりやすくなります。これが続くと、口を開けたときに音が鳴る、顎が痛む、口が開けにくいといった顎関節症の症状につながる恐れがあります。
すきっ歯はインビザラインで治せる?

結論から言うと、すきっ歯の多くはインビザラインで治療できることが多いです。インビザラインとは、透明なマウスピースを一定期間ごとに交換しながら、歯を理想的な位置へ少しずつ動かしていく矯正方法です。見た目が目立ちにくく、食事や歯みがきの際に取り外せることから、近年非常に人気があります。
すきっ歯のように軽度から中等度の歯列不正であれば、インビザラインが効果的に機能するケースが多くあります。治療前には精密な検査を行い、マウスピースの枚数や治療の進行をデジタルでシミュレーションできるため、安心して治療に取り組めるのも大きなメリットです。
ただし、重度の歯のガタつきや顎の骨格に問題がある場合は、インビザラインだけでは対応できないケースもあります。その場合には、ワイヤー矯正やほかの治療法を組み合わせることも検討されます。
まずは歯科医師に相談し、自分のすきっ歯がインビザラインで治療可能か確認することが大切です。
すきっ歯の治療にインビザラインを選択するメリット

すきっ歯の治療にインビザラインを選ぶことで得られるメリットは、以下のとおりです。
目立たない
インビザラインで使用するマウスピースは透明な素材で作られており、装着中でもほとんど目立ちません。装置に気づかれることが少ないため、仕事や学校、日常生活において周囲の目を気にせず治療を続けられるでしょう。
とくに、人前に出る機会が多い方や接客業に従事している方にとって、見た目の自然さは大きなメリットとなります。
取り外しが可能
インビザラインのマウスピースは、自由に取り外しが可能です。これにより、普段通りに食事をすることができ、食べ物の制限もありません。また、歯磨きやフロスも普段通りに行えるため、治療中でも口腔内を清潔に保ちやすいのが特長です。
固定式の装置と比べ、虫歯や歯周病のリスクを抑えられる点は、非常に大きなメリットといえます。
痛みが少ない
インビザラインは、歯に段階的にやさしい力をかけて少しずつ動かしていくため、痛みが少ないと言われています。特に、ワイヤー矯正に見られるような強い締め付け感や急な痛みが起こりにくいことは、大きなメリットのひとつです。
装置の交換時に違和感や軽い圧迫感を覚えることはあるものの、日常生活に支障が出るほどの痛みは少ないでしょう。
治療のシミュレーションができる
インビザラインでは、治療を始める前に専用のコンピューターソフトを使って、歯の動く過程や最終的な歯並びのイメージを確認できます。これにより、治療の全体像やゴールがわかりやすくなり、安心して治療を進めやすくなります。
また、イメージ通りに治療が進んでいるかを確認しやすいため、トラブルの早期発見にもつながります。
すきっ歯の治療にインビザラインを選択するデメリット

インビザラインには多くのメリットがある一方で、注意すべきデメリットも存在します。治療を始める前に、これらの点を理解しておくことが大切です。
適応できないケースがある
インビザラインは万能な治療法ではなく、すべてのすきっ歯に対応できるわけではありません。隙間の大きさが極端に広い場合や、噛み合わせのズレが強い場合、骨格に由来する問題があるケースでは、ほかの治療法が必要になることもあります。
そのため、インビザラインによる治療が可能かどうかは、歯科医師の診断を受けることが重要です。
装着時間を守る必要がある
インビザラインの治療では、1日20時間以上マウスピースを装着することが求められます。食事や歯みがき以外の時間は基本的に装着しておく必要があり、使用時間が足りないと計画どおりに歯が動かず、治療が長引いたり効果が出にくくなったりするおそれがあります。
自己管理に自信がない方や、つい忘れてしまうという方には向いていない可能性があります。
紛失や破損のリスクがある
インビザラインのマウスピースは取り外しが可能である一方で、外した際に紛失したり、誤って破損させたりするリスクがあります。
例えば、食事中にティッシュに包んで置いたまま捨ててしまったり、持ち運び中にケースに入れず変形してしまうといったケースが見られます。
マウスピースを失くしたり壊したりすると、再作製が必要になり、その間に治療が中断されることもあります。また、再作製には費用と時間がかかるため、患者さま自身の管理意識が非常に重要です。
インビザラインですきっ歯を治す場合の期間と費用

ここでは、インビザラインですきっ歯を治す場合の期間と費用の目安を詳しく解説します。
治療期間
すきっ歯をインビザラインで治療する場合の期間は、軽度なケースであれば3か月〜半年程度が目安です。ただし、歯と歯の間の隙間が広い場合や、噛み合わせにズレがある場合は、1年〜3年程度の時間がかかることもあります。
治療期間には個人差があるため、事前に歯科医師による正確な診断を受けることが大切です。
費用
インビザラインによる矯正治療の費用は、患者さまそれぞれの歯の状態や治療の範囲によって異なります。軽度のすきっ歯であれば30万〜60万円ほどで対応できることもありますが、噛み合わせの調整が必要な場合などは、80万円〜100万円程度になることもあります。
また、矯正治療は基本的に自由診療に該当するため、健康保険は適用されません。費用が高額になる傾向がありますが、歯科医院によっては分割払いやデンタルローンに対応しているところもあります。治療を始める前に、費用の内訳や支払いプランについて確認しておきましょう。
まとめ

すきっ歯は見た目の問題だけでなく、口内環境や体全体のバランスにも影響を及ぼすことがあります。放置すると虫歯や歯周病、顎関節の不調などにつながる可能性もあり、早めの対処が望ましいでしょう。
近年人気のインビザラインは、透明なマウスピースを使った矯正方法で、目立ちにくく取り外し可能という特長があります。すきっ歯の矯正にも対応しており、適切な症例であれば、短期間かつ快適に治療を進められるでしょう。
すきっ歯の矯正を検討されている方は、座間市相武台、小田急線「相武台前駅」南口より徒歩1分にある歯医者「相武台ゆうデンタルクリニック」にお気軽にご相談ください。
当院は、地域の皆様のお口の健康を守り、豊かな人生になるよう寄り添う事を理念にしています。一般歯科だけでなく、予防歯科や矯正治療、口臭治療、ホワイトニングなど、さまざまな診療にあたっています。





![Quacareer[クオキャリア]新卒歯科衛生士募集中|採用情報・見学申し込みはこちら](/common/img/bnr_hygienist01.jpg)
![Quacareer[クオキャリア]経験者歯科衛生士募集中|採用情報・見学申し込みはこちら](/common/img/bnr_hygienist02.jpg)






