こんにちは!相武台ゆうデンタルクリニックです!
マウスピース矯正を行うと食生活がより良く変化します!
しっかり咀嚼することが出来るので消化の時に胃腸にかかる負担を減らすことができたり、歯に過度な力が加わることが減るので、歯を健康的に残すことができます。また、唾液の分泌を促進するので、口腔環境向上に繋がります。
マウスピース矯正で健康的な歯と生活をしてみませんか?
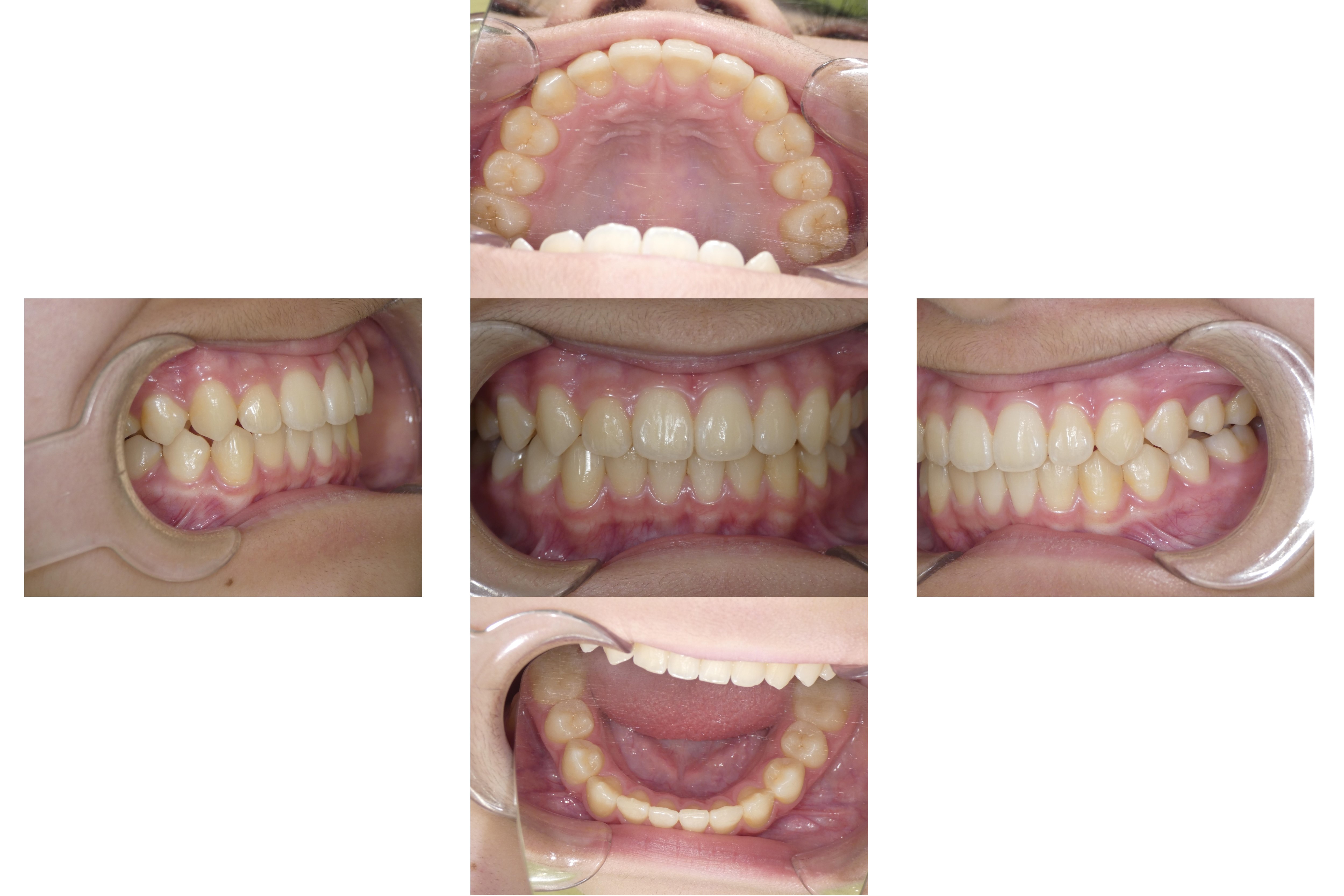
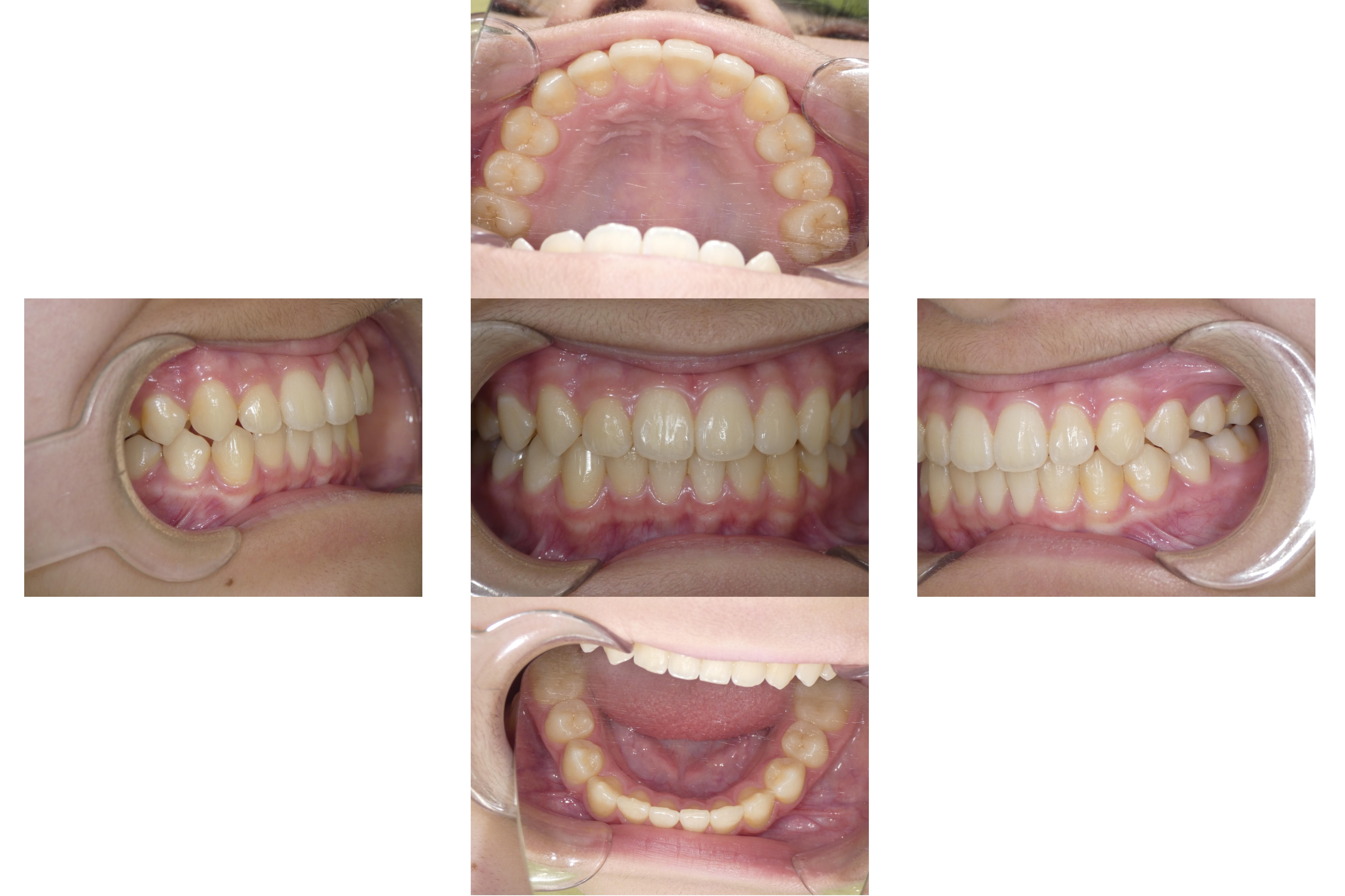
治療前

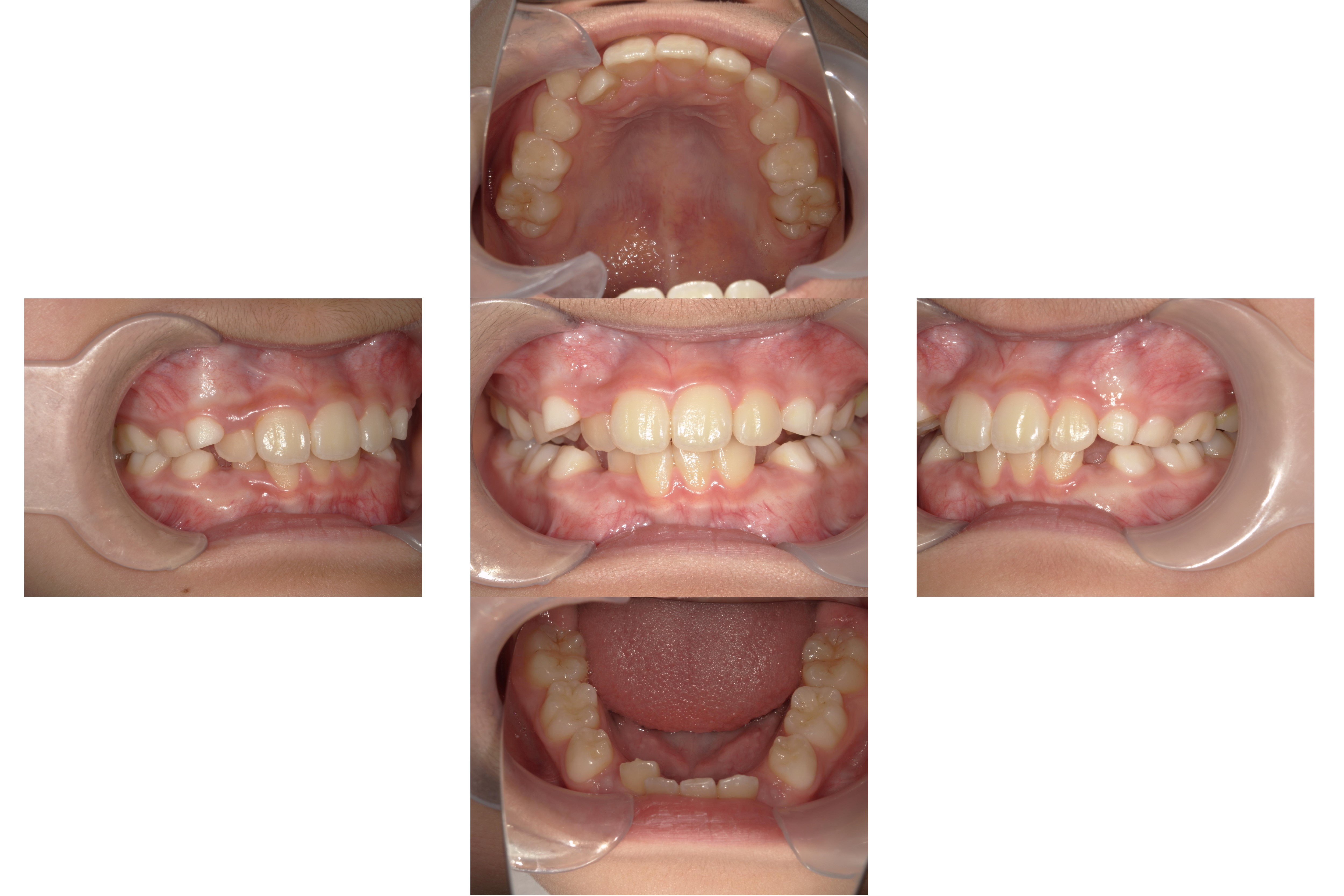
治療後

診断:叢生(ガタガタ)
治療内容:インビザラインファースト
治療期間:3年
費用:50万
メリット:食事に制限がない
デメリット:一定時間付けないと効果が出ない










![Quacareer[クオキャリア]新卒歯科衛生士募集中|採用情報・見学申し込みはこちら](/common/img/bnr_hygienist01.jpg)
![Quacareer[クオキャリア]経験者歯科衛生士募集中|採用情報・見学申し込みはこちら](/common/img/bnr_hygienist02.jpg)






